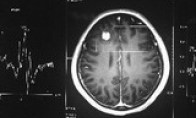
方框亮点为CT片显示的异物取出的虫子在显微镜下显得有些瘆人开颅手术时,医生用镊子小心翼翼地将张敏(化名)大脑里的白色异物夹出,放在手术台上两秒钟后,白色物体竟然动起来了,医生很惊讶“原来是条虫”。至此,困扰张敏半年之久的癫痫之谜,才算最终解开。医生怀疑,这与小张吃了不干净的食物有关系。两次癫痫发作,无法确定原因20岁的张敏,在江苏苏州上大学。今年1月份张敏放寒假在家,忽然摔倒在地,浑身抽搐,口吐白沫。20分钟后,她才醒过来,对刚才发生的事情,一无所知。家里人将张敏送到医院,医生认为,虽然症状很像癫痫,但头颅的CT检查没有发现任何异常。今年6月份,张敏在宿舍休息时,又发起了癫痫,也是口吐白沫,浑身抽搐。送到苏州一家大医院,头颅核磁共振检查出,张敏大脑右额叶处有一处病灶,也就是大脑额头处有个
福建8年4次被判死刑的男子沉冤得雪近日,福建念斌案四起四伏备受民众关注,8年4次被判死刑,念斌在生死边缘四次徘徊,念斌在狱中曾写信到:“一次次被判死刑,要得了我的人,征服不了我的心。”称:“我生不如死,请相信我没做这件事”经过8年的时间间隔,通过一次又一次侦查,该案终于在2014年8月22日上午,福建省高院终审宣判:念斌无罪释放,并且不承担民事赔偿责任。案情回顾:8年前,念斌才30岁,“没什么远大理想”,带着老婆孩子在老家福建平潭县澳前村开杂货店,租的是该村陈炎娇的房子。一墙之隔也是陈炎娇的出租房,一样开着类似的食杂店,店主叫丁云虾,带着三个孩子寡居于此。2006年7月27日晚,丁云虾家和陈炎娇家一同吃晚饭,两家分别吃自家煮的稀饭,一起吃丁
干旱的酷暑即将过去,我们终于将迎来电子游戏的丰收季节,市面上就要遍布琳琅满目的新鲜大作了。新作年年有,总有一些特别出众的,其他则是制造了大量的期待,最后只会让玩家失望。但不可否认,期待和希望的感觉非常好,以下就是今年秋季我们期待看到谜底的5款新鲜大作。5. 《刺客信条:叛变》为什么是《叛变》而不是《大革命》?因为我们终于等来了一款真正创新的《刺客信条》。自从《刺客信条2》以来,这个系列就没怎么变过,而《叛变》则峰回路转,讲述一个只身对抗兄弟会的叛逃刺客。不知道他是圣殿骑士安插进来的间谍?还是自己出于某种目的进行复仇?太令人期待了。4. 《命运》这款作品必须上榜,它承担的期望甚至已经达到了危险的水平,如果失败,一定会败得很摧残。《命运》的制作班底打造了电子游戏史上最出色的科幻FPS之一,这次Bungie换了一个全
针对外界“冰桶挑战”用冰造假的质疑,陈光标8月23日中午接受澎湃新闻采访时回应称,他会用吃冰块的方式证明自己没有作假。他表示,参加“冰桶挑战”的大冰块是从火葬场拉来的,而冰水最终也没有按计划用作员工餐,而是冲马桶了。他还表示,这次自己也捐款了,但数额和去向“保密”。8月22日,就在民政部呼吁“冰桶挑战”应避免球探足球比分化倾向的第二天,陈光标在微博贴上自己完成“冰桶挑战”的照片和视频,微博留言随即破万,有网友通过科学分析对陈光标“创举”的真实性提出质疑。陈光标告诉澎湃新闻,他参加“冰桶挑战”的目的是要让更多人关注渐冻人症,也是为了让这个活动能
港媒报道,8月20日9时50分,黄狗突然闯入香港上水站轨道,当时有乘客发现后立即通报港铁。有目击者说,港铁曾暂停列车行驶,派人走入轨道尝试赶狗失败,于是重启列车服务;它后来跑到粉岭站轨道,遭一列当时驶入月台的城际直通车辗毙。22日下午,近百人在港铁总部外抗议,高呼“港铁可耻”。9万人谴责,要求彻查事件。港铁车务总监金泽培22日在港铁总部接收请愿信,就有狗被辗毙致歉并献花,金发言期间多次被打断。网友提供照片,现实港铁工作人员曾尝试将狗抱上月台港铁工作人员尝试吸引流浪狗注意,但未能成功将其引导到铁轨外有网友前往事发站台静站抗议百余人港铁总部抗议。有抗议者展示被碾流浪狗生活照
《尖峰行动》是由国人独力打造的一款单机FPS游戏新作,本作由虚幻引擎3打造,内含剧情、解谜等要素。目前游戏的完成度并不高,按照制作人的说法已经制作到13%,暂未考虑加入联机元素,将在合适的时机发布试玩版本。制作人在贴吧中公布了视频和大量截图,一起来看一下吧。《尖峰行动》游戏视频: 《尖峰行动》游戏截图:
清纯甜美的长相、F杯豪乳再配上修长的美腿,日本19岁嫩模佐野雏子近日在网上爆红,引无数宅宅围观。佐野雏子出生于1994年,此前曾担任游戏代言人,因为一对大胸以及天使般的面容让佐野雏子受到了不少人的关注。据了解,外形靓丽的佐野雏子身高160公分,并拥有33F上围。此前她曾在《水球不良少年》中有精彩出演,同时被福山雅治点名称赞。她在谈话节目中提及被福山称赞的话题,还被同台的毒舌女星泉萍子调侃:“你变成全日本女性的公敌了。”因为福山点名加持人气,最近节目通告明显变多,走红演艺圈指日可待。日本“天使嫩模”佐野雏子拥有甜美脸孔、清纯气质,加上F罩杯的火辣身材,出道才短短1年半就受到大批宅男的喜爱,但去年底网上却流传一张疑似她与前男友的全裸接吻床照,还曾被曝出她男女关系复杂,
近日,一名重庆女孩搭错车遭黑车司机杀害的消息引爆舆论。尽管详细案情还未披露,但妙龄女子独自乘车的安全问题值得关注。昨日,湖里法院向记者披露了两起发生在厦门的案件,被害女子皆独自一人搭乘出租或黑车,遭到司机侵犯。案例一女孩逃出淫窝 又遇色狼的哥女孩小袁曾在打游戏时结识了一名同乡玩家。去年,对方说有朋友在漳州开发廊,可以带她去学手艺,无事在家的小袁就跟着走了。抵达漳州的第二天,她到发廊“报到”。这发廊开在路边一栋五层楼的底层,楼上是私人小旅馆,发廊和旅馆都没有名字。第二天,老板娘就叫小袁接客,被拒绝后,对方喊来持刀棍的男子威胁她,小袁只好屈从。这个女孩找不到机会逃跑,因为发廊就开在小楼唯一出口处。不过,第三天夜里,一名得知她遭遇的男客人起了恻隐之心,以给小袁买东西将她从发廊带了出来,拦下的士
2010年外媒确认Rock正在制作一款PS3独占游戏《特工》,游戏发生在冷战时期,是一款潜入类动作游戏,不过直到今天,除了去年的商标注册信息外,该作还是没有任何声音。根据零售商Gamefly发给消费者的邮件来看,游戏已经取消了。邮件信息如下:亲爱的XX,我们已经从你们的GAMEQ中删除了《特工》(PS3)。以下是删除游戏的2点原因:1.对于这款游戏,我们不会进货了,我们根本不知道什么时候才能拿游戏。2.游戏已经被发行商取消了。我们为此感到抱歉,如果你们有什么问题,请联系我们。谢谢你们,The GameFly Team当然这不能当作完整的确认信息,信息只是出自一家零售商而非Take-Two,所以在官方未正式公布前,我们还是保持观望。
据台湾媒体报道,被称为“亚洲最美瑜伽教练”的母其弥雅近日出席某活动。撩秀发香气迷人,与邻座热聊,坦荡荡当众提拉胸垫,大秀美胸,更显不做作的真性情。母其弥雅曾是大陆人气网游“地下城与勇士”的代言人。瑜伽教练出身的她可以说是最有气质的游戏代言人了。亚洲最美瑜伽教练秀美胸 当众提拉胸垫亚洲最美瑜伽教练秀美胸 当众提拉胸垫亚洲最美瑜伽教练秀美胸 当众提拉胸垫亚洲最美瑜伽教练美照曝光亚洲最美瑜伽教练美照曝光亚洲最美瑜伽教练美照曝光亚洲最美瑜伽教练美照曝光亚洲最美瑜伽教练美照曝光亚洲最美瑜伽教练美照曝光亚洲最美瑜伽教练美照曝光亚洲最美瑜伽教练美照曝光亚洲最美瑜伽教练美照曝光亚洲最美瑜伽教练美照曝光亚洲最美瑜伽教练美照曝光亚洲最美瑜伽教练美照曝光亚洲最美瑜伽教练美照曝光亚洲最美
EA正式宣布,将于2015年3月开始停止销售EA Sports季票。EA Sports季票可以说是在为EA通行证打下基础。季票允许玩家对许多游戏进行提前试玩体验,其中包括《终极球队》,另外还可以享受DLC折扣价。季票售价19.99欧元。不过,今年将是最后的机会了,从明年开始,EA通行证将提供上述优惠。“我们一直在为玩家着想,提供更多优惠措施,让尽可能多的玩家享受到实惠。由于我们越来越多粉丝都转向了新世代主机,所以我们觉得有必要让Xbox 360和PS3的季票业务迎来终点了。”当然,他们这漂亮话的背后,实际上将季票的优惠措施绑架到了另一项服务上,玩家们要想继续享受季票的优惠政策的话,就必须购买EA通行证。
孟加拉共和国的研究人员日前设计出了一个通过分析打字和文字模式来辨别输入者情绪状态的计算机项目,虽然这两种方式之前就已经存在,但这些研究者首次将两者结合了起来,并达到了87%的准确率。来自伊斯兰科技大学的A.F.M. Nazmul Haque Nahin和他的同事对自己的技术进行了介绍,他们说,本次的发现对于情绪感知计算机系统的研发具有重大意义,因为相比语音分析、面部传感器、热成像和手势追踪,他们所采取的方式不仅成本更低,侵入性也更小。“将键盘动态和文字模式分析相结合对于检测用户情绪是一种更加效率的方式。但是,还没有人尝试将两者合二为一,”研究者在文章当中介绍道,“这种综合分析并不需要任何额外的硬件或特殊工具”。在测试当中,志愿者被要求输入一段固定的文字,然后表明自
最近风靡全球的“冰桶挑战(全称ALS冰桶挑战赛)”可谓耳熟能详,但你听说过“泥桶挑战”吗?不久前,网上曾惊现了正在受旱的加州野外,两个成年男子往头上倒一桶泥沙的视频。据他们两个人在视频介绍,是想用这样的举动呼吁参加冰桶挑战的人节约用水,改用“泥桶挑战”。冰桶挑战这个病毒活动是为了给肌萎缩侧索硬化症(ALS,也称为渐冻人)筹集资金而发起的,活动规定,被邀请者要么在24小时内接受挑战,要么就选择为对抗“肌肉萎缩性侧索硬化症”捐出100美元。然而这项出发点为慈善的活动却遭到了大片质疑之声。除了说作秀的人之外,从七月底开始冰桶挑战引起加州地区民众的愤怒和热烈争议:加州97.5%的地区正遭受严重干旱,在干旱严重等级中排第三(数
又是一个周末到来,又是一波休闲游戏来袭的节奏。在游戏更新方面,《七日杀》、《机械风暴》两款作品分别获得更新档,其余的就是一些名不见经传的小游戏了。以下是详细介绍。游戏名称:七日杀英文名称:7 Days to Die游戏类型:第一人称射击类(FPS)游戏游戏背景设定在第三次世界大战过后的近未来,那时地球表面已经变成废墟,更糟的是,没有人知道到底是因为辐射、生化武器还是天灾,导致地面上出现了一群僵尸。玩家将扮演在美国亚历桑纳地区的一名幸存者,那里是地球最后的伊甸园,玩家将为了生存而战,同时探究整个事件背后的真相。游戏强调开放??式世界探索,发掘各地的建筑或洞穴,游戏具备动态故事生成系统,玩家必须想办法去寻找食物跟水等来维持基本生存,游戏同时也有挖矿、制造等系统,并且有成群而来的恐怖僵尸等着你来战斗。点此进入七日杀下
有哪些方法能拿到全中国最值钱的北京户口?这个户口究竟有多值钱?最近热炒的积分落户制是否将开辟新的通道?在过去十年中,平均每年有接近18万外地人获得北京户口。他们的故事,描绘了一个隐秘而庞大的中国特色市场。为了北京户口,陶谦折腾了八年。最近,因为面临孩子上学的难题,他再次走向这个隐秘的户口市场。根据他的毕业年限和学校学历,中介报出了45万元的价格。他至今清晰记得2006年6月8日这个日子,当年北京应届毕业生办理北京户口的最后截止日。作为北京一所理工科大学的硕士毕业生,他所在的学院那一年有278名毕业生,最终拿到北京户口的只有27人,陶不在其列。“除了进央企的少数几个人,还有一个同学办了下来,有关系,还花了几万元。”陶谦这个同学的父亲认识一个央企下属研究院的负责人,半年前就内定了去那儿工作并
据《日本经济新闻》8月22日报道,日本厚生劳动省的研究团队根据一项调查结果进行推算发现,日本有421万成年人患有“网络依赖症”。该研究团队日前公布了这一数据,相关人数已猛增到了2008年的约1.5倍。研究团队表示“由于智能手机迅速普及和网络内容越来越丰富”,所以依赖网络的人越来越多。据报道,国际上将过度使用网络,对自身健康和生活造成影响的状况定义为“网络依赖症”。该调查于2013年7月面向全日本4153位成年男女实施。调查设定了“上网时间比想象得长”、“缩短睡眠时间上网到深夜”等20中情况,让受访者从“经常会”和“有时会”等5个程度等
EA CEO Andrew Wilson已经完成了冰桶挑战,展示了冰水浇头并且个人为ALS捐出了1000美元,同时他发布消息,EA将会匹配北美区EA员工捐出的每一美元,他并没有公布期限。与其他完成挑战的人不同,Wilson并没有指名另外三个人,而是希望其他的游戏公司也能为员工提供类似的资金匹配系统。他表示“我挑战的就是业界每一家公司都能做到EA这样。”值得注意的是,这次负责浇水的是EA的COO Peter Moore。目前已经完成冰桶挑战的游戏行业知名人士有:Markus "Notch" Persson (《我的世界》创作者)Rod Fergusson(《战争机器》制作人)Tony Bartel(GameStop总裁)Cliff Bleszinski(《战
吃火锅原本是一件令人愉快的事,但是如果你去吃传统的烧炭火锅,就要小心一下了,别被熏到,否则就可能重演下面的悲剧。朋友相聚吃火锅,不想一氧化碳中毒,不仅提前报名的欧洲游泡了汤,还落了个轻度智障、七级伤残。为此,闻先生将北京吉祥爆肚山清真饭庄告上法院,索赔46万余元。昨天下午,该案在通州法院开庭,饭庄认为闻先生没有一氧化碳中毒,不同意赔偿。昨天下午,闻先生委托妻子和代理人出庭,“他现在说话、走路都费劲,后遗症明显。”闻先生的妻子说。据了解,此案今年2月份曾开过庭,昨日是第二次开庭。闻先生诉称,2013年7月2日晚6时许,他与3个朋友到被告饭庄吃传统烧炭火锅。晚8时20分许聚会要结束时,一位朋友说不舒服到包间外透气,这时他突然趴在桌子上不省人事,后来得知他们4人一氧化碳中毒,他最严重。闻先生表
湖北孝感48岁男子把挨打当职业,他走遍全国各地向人发出挑战,独孤求败。据称,13年来,近4万人打过他的肚皮,谢水平挨了10万余拳头,却从未受过伤,仅在只在佛山被一个人打退过。湖北安陆人谢水平将“挨打”当成了自己的职业,走南闯北每月有2万到3万的收入。昔日装修工转行“找打”谢水平是安陆市雷公镇人,原来是泥水匠。十多年前,他和同乡一起到广州当装修工。有一天,谢水平下工后在街上闲逛,碰到一家超市门口搞促销活动,主持人请路人上前表演魔术、二人转等。谢水平从十多岁开始就跟着堂爷爷学习气功,他当时心痒上台表演,站好姿势后让人打他的肚子。遭到击打后,谢水平不仅不喊疼,还能纹丝不动,像没事一样。表演完后,主持人给了他几十元报酬。这意外的经历开启了谢水平的挨打人生。从此之后,他就兼
日前,网上发生了一批DDoS黑客攻击,许多网络游戏服务器都接连遭殃,其中不乏《RuneScape》和《EVE》这类大作。许多玩家都发现游戏出现掉线和无法登陆的现象。《RuneScape》开发组Jagex在论坛上发帖表示:“大家可能已经知道了,我们的游戏服务器和官方网络服务都正在受到干扰,我们已经获悉《RuneScape》以及其他游戏正在成为黑客攻击的目标,因此造成了游戏无法连接的问题。”“我们正在尽一切努力减轻本次事件为玩家带来的影响,我们的系统团队正在改良核心服务平台的稳定性,加强在这种情形下的应变能力。”另外Jagex还警告玩家,尽量避免进行高风险活动,例如PVP和高级别PVM。《EVE》制作组CCP也表示,他们的Tranquility服务器也遭受了数次DDo
京ICP备14006952号-1 京B2-20201630 京网文(2019)3652-335号 沪公网安备 31011202006753号违法和不良信息举报/未成年人举报:legal@3dmgame.com
CopyRight?2003-2018 违法和不良信息举报(021-54473036) All Right Reserved
